CENTRO RADIOLOGICO DR. WALTER MANUEL CHAUD
Nuestros Servicios

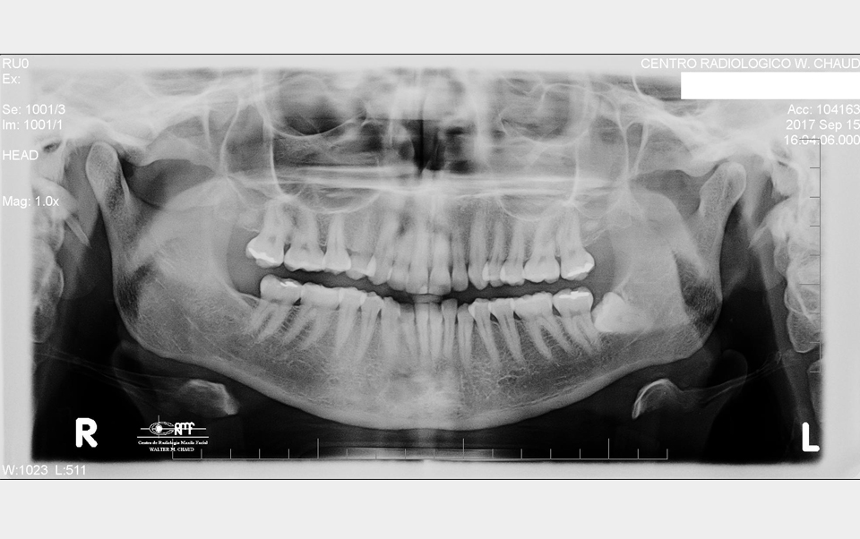
Hoy en día es un estudio rutinario y fundamental en la historia clínica inicial. Es la radiografía extrabucal más utilizada en odontología.
En una sola proyección muestra maxilar superior e inferior. Revela el estado de la dentición de ambos maxilares, tanto la temporal niños) como la permanente (adulta). Provoca una magnificación de la imagen en un 20 – 30 %.

Radiografía de cráneo lateral o frontal. La más utilizada es la lateral en la que se aprecia con nitidez tanto el perfil blando (cara) como las estructuras óseas. Se puede practicar en posición postural, posición natural de la cabeza, etc. Utilizada principalmente en ortodoncia para estudios cefalométricos. También es de utilidad en estudios de posición cráneo-cérvico-mandibulares y en cirugía ortognática

- Ricketts 13 factores
- Ricketts 32 factores
- Steiner-Tweed
- Mc Namara
- Björk-Jarabak
Análisis dimensional realizado sobre una Telerradiografía, que permite determinar las relaciones de los diferentes componentes tanto duros como blandos de cara, maxilares y cráneo.

Estudio que permite evaluar de manera general el movimiento de la articulación témporo-mandibular y comparar bilateralmente, a boca abierta y cerrada, la posición condilar en una sola placa.

Es una radiografía que complementa muy bien la información obtenida con una Ortopantomografía, especialmente en los casos de lesiones quísticas y tumorales, dientes incluidos, fracturas alveolodentarias, cálculos en el conducto de Warthon, dientes supernumerarios etc.

Los Tomógrafos Computados de Haz Cónico (Cone Beam Computed Tomography; CBCT) fueron específicamente diseñados para la obtención de información tridimensional del esqueleto máxilo facial, que incluye los dientes y tejidos adyacentes con una considerable menor dosis efectiva de radiación en comparación a la tomografía computada convencional médica (CT).